
治療方針
矯正治療は元に戻す医療ではなく、
新しい状態を創る創造の医療です。
医療は一般に悪くなったところを元の状態に戻すことを目的にしています。
したがって患者さん自身が治ったことが分かります。それに対して歯科矯正治療はもともとの歯並びを新しい状態に変えてしまう、いわば創造の医療ともいえます。
当院では、先ず最初にきちんとした資料を作成し( 顔とお口の中の写真、模型、レントゲン) どのような状態に変えて行くか、納得いただくまで、 お話し合いいたします。
当院の治療目標は、おおまかに言うと、以下の2つです。
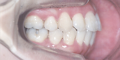
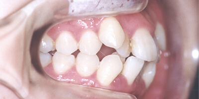
1
永久歯列において、きちんとした健康的な噛み合わせときれいな歯並びを創る
![[ 治療前 ]](https://www.arimatsu-ortho.com/wp-content/themes/site/images/treatment_img01_1.jpg)
- [治療前]
![[ 治療後 ]](https://www.arimatsu-ortho.com/wp-content/themes/site/images/treatment_img01_2.jpg)
- [治療後]
- 抜歯をおこない治療しました。
2
機能的で美しい口元を創る。
![[ 治療前 ]](https://www.arimatsu-ortho.com/wp-content/themes/site/images/treatment_img02_1.jpg)
- [治療前]
- 歯が出ているために自然に口が閉じられない。
あごのあたりに梅干しのひずみができている。
![[ 治療後 ]](https://www.arimatsu-ortho.com/wp-content/themes/site/images/treatment_img02_2.jpg)
- [治療後]
- 抜歯をおこない、前歯を引っ込めたことから、
自然に口を閉じることができるようになった。
費用
- 初診料
-
3,000円
- 検査料
-
30,000円
- 診断料
-
20,000円
- 基本料
-
乳歯列期
50,000円~100,000円
混合歯列期
150,000円 250,000円
永久歯列期(一期治療を行なった方は差額のご負担となります)
永久歯列期
メタルブラケット600,000円
永久歯列期
審美ブラケット650,000円
部分矯正(1歯について)
50,000円
- 保定装置
-
1顎について
50,000円
- 処置料•観察料
-
5,000円
治療中のレントゲンなどの診査料金も含む(1回)
- 抜歯/矯正治療を進めるうえで抜歯をお願いする場合がありますが、矯正治療上の抜歯は保険外処置のため5,000円~
10,000円程度(1歯について)かかります。なお当院では抜歯は行いません。 - 基本料金のお支払いは治療期間内の分割も可能です。
- 一度納入された料金は原則として、お返しできません。
- 消費税は別途になります。